Transforming Smiles in Chicago: Real People, Real Results
At Bubon Orthodontics, we’re proud to show real patient success stories, and your smile is our top priority! Our Chicago-area patients have trusted us to help them achieve the confident, beautiful smiles they’ve always wanted. Each smile reflects our commitment to personalized care and cutting-edge technology. From Invisalign to braces, we will be there for you every step of the way, ensuring your orthodontic journey fits your lifestyle and delivers the results you deserve.
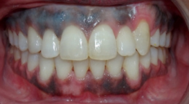
Braces Before & After
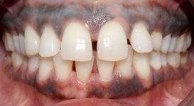
Invisalign Before & After
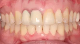
Teen Invisalign Before & After
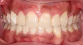
Phase 1 Braces Before & After
Your Smile Could Be Next!
Inspired by these amazing transformations? At Bubon Orthodontics, we’re here to help you achieve your dream smile. Our team is ready to create a customized treatment plan that works for you.
Don’t wait – schedule your free consultation today and take the first step toward your own smile transformation!
